Όταν έχουμε χάσει κάποια δόντια, όταν οι άλλες αποκαταστάσεις δεν μπορούν να δώσουν ικανοποιητικό αποτέλεσμα, τότε η ακίνητη προσθετική λαμβάνει χώρα με πλήθος θεραπευτικών σχημάτων.
Με συνεχή ενημέρωση επί του αντικειμένου το ιατρείο μας πρωτοπορεί στο τομέα αυτό. Μερικές από τις πιο σύγχρονες μεθόδους που προσφέρουμε με τα υπερσύγχρονα μηχανήματα μας είναι: Απλές μεταλλοκεραμικές εργασίες, μεταλλοκεραμική με πολύτιμα μέταλλα, ολοκεραμικές εργασίες χωρίς παρουσία μετάλλου και άλλες πολλές.
Η Οδοντική Προσθετική είναι ο κλάδος της Οδοντιατρικής που ασχολείται με την αποκατάσταση των ελλειπόντων δοντιών και τη διόρθωση της σύγκλεισης, προσφέροντας ένα λειτουργικά σταθερό αποτέλεσμα πάντα σύμφωνα με τους κανόνες που επιτάσσει η σύγχρονη αισθητική. Παρά την εξέλιξη της προληπτικής οδοντιατρικής και την προσπάθεια διατήρησης των δοντιών για όλη τη διάρκεια της ζωής ενός ανθρώπου, η απώλεια ενός ή περισσότερων δοντιών λόγω τερηδόνας, τραυματισμού ή περιοδοντικής νόσου χρήζει άμεσης φροντίδας και αποκατάστασης.
Η Οδοντική Προσθετική περιλαμβάνει:
- Όψεις
- Στεφάνες (Θήκες)
- Γέφυρες
- Μερικές οδοντοστοιχίες
- Ολικές οδοντοστοιχίες
- Εμφυτεύματα
Ολοκεραμικές Στεφάνες
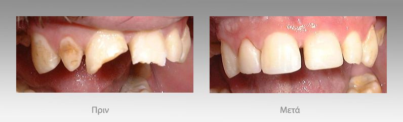
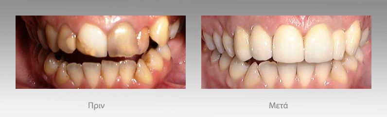
Ολοκεραμικές στεφάνες ή αλλιώς θήκες πορσελάνης αποτελούν την πιο αισθητική αποκατάσταση για δόντια που έχουν υποστεί μεγάλη καταστροφή και έχουν χάσει μεγάλο μέρος της οδοντικής τους ουσίας.
Οι ολοκεραμικές στεφάνες ενδείκνυνται σε:
- Ασθενείς με υψηλές αισθητικές απαιτήσεις
- Δόντια μετά από απονεύρωση που έχουν χάσει μεγάλο μέρος από την οδοντική τους ουσία
- Δόντια που έχουν χάσει το σχήμα τους
Οι ολοκεραμικές θήκες εμφανίζουν πολύ σημαντικά πλεονεκτήματα όπως το ότι μπορούν να καλύψουν κενά μεταξύ των δοντιών πετυχαίνοντας άριστη αισθητική, μακροχρόνια αποφεύγεται η αντιαισθητική εμφάνιση του μετάλλου στα όρια των ούλων όπως συνέβαινε με τις μεταλλοκεραμικές στεφάνες, επιτυγχάνουν αλλαγές στο χρώμα δοντιών με δυσχρωμίες, καθώς και κατακράτηση πολύ μικρότερης ποσότητας οδοντικής μικροβιακής πλάκας και χρωστικών.
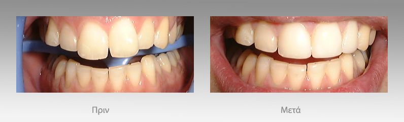
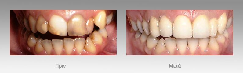
Όψεις Πορσελάνης
Οι όψεις πορσελάνης είναι εξαιρετικά λεπτές φλοίδες κεραμικού υλικού (πάχους περίπου 0,5 mm) που συγκολλώνται στην εξωτερική επιφάνεια των προσθίων δοντιών και παρουσιάζουν διάρκεια αποτελέσματος γύρω στα 10-15 χρόνια. Πρόκειται για μία πλήρως καθιερωμένη τεχνική, η οποία με ελάχιστη παρέμβαση χαρίζει ιδανικό σχήμα, μέγεθος και χρώμα στα δόντια σας. Πιο συγκεκριμένα, οι όψεις πορσελάνης ενδείκνυνται σε περιπτώσεις:
- Δυσχρωμιών των προσθίων δοντιών
- Ελαφρώς στραβών δοντιών
- Δοντιών με ανωμαλίες στο μέγεθος και στο σχήμα
- Δοντιών με επιφανειακό κάταγμα
Οι όψεις πορσελάνης αποτελούν λύση εκλογής στις παραπάνω περιπτώσεις λόγω της ελάχιστης παρέμβασης που πραγματοποιούμε στον οδοντικό ιστό, του άριστου αισθητικού αποτελέσματος και του σχετικά χαμηλότερου κόστους τους από τις ολοκεραμικές στεφάνες. Παράλληλα όμως εμφανίζουν το μειονέκτημα της παρεμβολής εργαστηρίου σε αντίθεση με την τεχνική του bonding και της αδυναμίας επιδιόρθωσης, αν τυχόν τραυματισθούν. Ο οδοντίατρός σας μετά από μελέτη της δικής σας περίπτωσης θα σας καθοδηγήσει ανάλογα για το ποια είναι η καταλληλότερη αντιμετώπιση του προβλήματός σας, εξετάζοντας όλες τις παραμέτρους που θα οδηγήσουν σε ένα άψογο αισθητικά και λειτουργικά αποτέλεσμα.
Ο κάθε άνθρωπος είιναι ξεχωριστός και έχει διαφορετικές ανάγκες, γιʼ αυτό το λόγο ο οδοντίατρός σας μετά από προσεκτική μελέτη της περίπτωσής σας (ακτινογραφίες, διαγνωστικό κέρωμα) μπορεί να σχεδιάσει το καταλληλότερο για εσάς σχέδιο θεραπείας.
Στόχος είναι η βελτίωση της ποιότητας ζωής του ασθενή μέσω της αποκατάστασης της λειτουργικότητας του στόματος (μάσηση, ομιλία, έκφραση) χαρίζοντας παράλληλα ένα υγιές και λαμπερό χαμόγελο.
