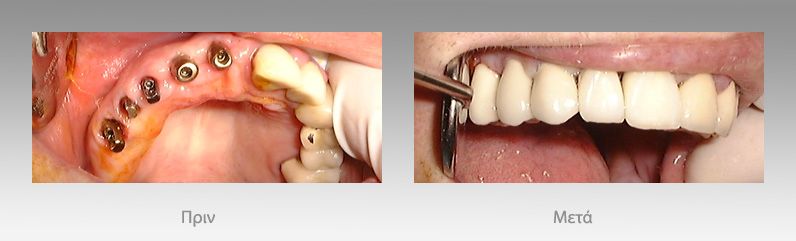
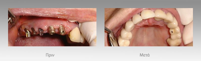
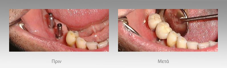
Σε περιοχές που δεν υπάρχουν δόντια στηρίγματα ή σε περιπτώσεις που δεν θέλουμε να τροχίσουμε παρακείμενα (διπλανά) δόντια τότε τα εμφυτεύματα μας δίνουν τη λύση οριστικά.
Γιατί να βάλω εμφύτευμα;
Είναι μια ερώτηση που καλούμαι καθημερινά να απαντάω στους ασθενείς μου. Και δεν θα μιλήσω για περιπτώσεις ολικής νοδότητας στην οποία η κλασσική αποκατάσταση είναι η γνωστή σε όλους μας ως μασέλα. Ποιος άραγε στις μέρες μας να θέλει να βάλει μασέλα (ολική οδοντοστοιχία) στο στόμα του;
Θα αναφερθώ για την περίπτωση την οποία έχουμε χάσει κάποια δόντια. Η αποκατάσταση που εφαρμοζόταν είναι ο τροχισμός των παρακείμενων δοντιών με ανάγκη τις περισσότερες φορές για απονεύρωση των δοντιών και η τοποθέτηση της γέφυρας. Δηλαδή καταστροφή των δοντιών διότι μετά από μερικά χρόνια ποιος ξέρει τι θα γίνει! Το λιγότερο αντικατάσταση της γέφυρας, πιθανό και η ανάγκη για τρόχισμα ενός ακόμα δοντιού και ούτω καθεξής, μέχρι του σημείου να μην έχουμε άλλο στήριγμα να τροχίσουμε και να βάλουμε το πρώτο μας μηχάνημα (μερικά οδοντοστοιχία), αυτό είναι που θέλουμε για το στόμα μας; Νομίζω πως όχι. Σαφώς και το κόστος δε νομίζω ότι είναι υψηλότερο αν αναλογιστούμε όλη αυτή την εξέλιξη που σας περιέγραψα παραπάνω.
Και πάντα η επόμενη ερώτηση είναι: Πονάει;
Πραγματικά δεν θα το έλεγα! Από την κλινική μου πείρα η ενόχληση μετά τη τοποθέτηση εμφυτευμάτων είναι πολύ λιγότερη και από μία απλή εξαγωγή σε συνδυασμό πάντα με κάποια φαρμακευτική αγωγή. Και ως προς την αισθητική πιστεύω πως έχουν ξεπεραστεί όλα τα προβλήματα που υπήρχαν στο παρελθόν. Με υλικά καινούργιας τεχνολογίας μπορούμε να δημιουργήσουμε όμορφα και φυσικά χαμόγελα. Γιατί λοιπόν όχι εμφυτεύματα; Έτσι η αποκατάσταση με εμφυτεύματα λαμβάνει χώρα. Με μια απλή επέμβαση γίνεται η τοποθέτηση των εμφυτευμάτων με χρόνο αναμονής τρείς μήνες περίπου μέχρι τη πλήρη οστεοενσωμάτωσή τους όπου ο ασθενής παραμένει με προσωρινά δόντια.
Πιστεύω είναι η καλύτερη λύση και αυτή προτείνω.
ΓΙΑΝΝΗΣ ΔΗΜΗΤΡΙΑΔΗΣ
ΧΕΙΡΟΥΡΓΟΣ ΟΔΟΝΤΙΑΤΡΟΣ
