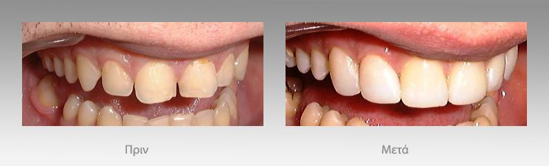
Aισθητική οδοντιατρική είναι η τέχνη του όμορφου χαμόγελου που δημιουργεί η επιστήμη. Στο ιατρείο μας παρακολουθούμε συνεχώς τις εξελίξεις στο χώρο της αισθητικής οδοντριατικής ώστε να προσφέρουμε στους πελάτες μας τις πιο σύγχρονες μεθόδους. Ειδικότερα εξιδικευόμαστε στο τομέα της Λεύκανσης, του Bonding και της Τεχνολογίας Πορσελάνινων Προσθέσεων (Porcelain Technology).
Ένα όμορφο και λαμπερό χαμόγελο, χωρίς αμφιβολία, χαρίζει αυτοπεποίθηση και ελκυστικότητα στο πρόσωπο. Ο σύγχρονος οδοντίατρος χάρη στην εξέλιξη του κλάδου της Αισθητικής Οδοντιατρικής, εφοδιάστηκε με όλες τις απαραίτητες γνώσεις που τον μετέτρεψαν σε καλλιτέχνη που δημιουργεί σύμφωνα με τις ανάγκες και τις επιθυμίες κάθε ασθενούς ένα κατάλευκο και υγιές χαμόγελο. Πιο συγκεκριμένα, η αισθητική οδοντιατρική περιλαμβάνει:
- Λεύκανση
- Bonding
- Ολοκεραμικές στεφάνες και γέφυρες
- Όψεις πορσελάνης
- Όψεις σύνθετης ρητίνης
- Ένθετα και επένθετα πορσελάνης
- Εμφυτεύματα
- Ουλοπλαστική
- Ορθοδοντική
- Αντικατάσταση παλαιών μεταλλικών σφραγισμάτων με εμφράξεις σύνθετης ρητίνης
Στο ιατρείο μας ακολουθώντας τις νεότερες εξελίξεις στον τομέα της αισθητικής οδοντιατρικής και των εμφυτευμάτων, παρέχουμε στους ασθενείς μας ένα εξατομικευμένο σχέδιο θεραπείας, εναλλακτικές λύσεις και τρόπους παρέμβασης κατόπιν συζήτησης μαζί τους και ανάλυσης της κάθε περίπτωσης ξεχωριστά.
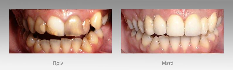
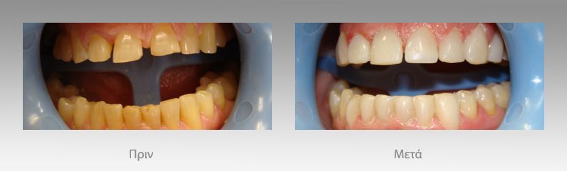
Λεύκανση
Η λεύκανση των δοντιών συγκαταλέγεται ανάμεσα στις πιο δημοφιλείς διαδικασίες της αισθητικής οδοντιατρικής. Πρόκειται για την πιο οικονομική και λιγότερο επεμβατική μέθοδο, η οποία συμβάλλει στη αλλαγή του χρώματος των δοντιών με αποτέλεσμα να βελτιώνει σημαντικά την αισθητική τους εμφάνιση. Μπορεί να πραγματοποιηθεί από τον ασθενή στο σπίτι, από τον οδοντίατρο στο χώρο του οδοντιατρείου ή με συνδυασμό των δύο παραπάνω.
Η λεύκανση στο ιατρείο
Η λεύκανση στο οδοντιατρείο είναι πλήρως ελεγχόμενη από τον οδοντίατρο και γίνεται σε 1-3 ραντεβού, διάρκειας 30-60΄ κάθε φορά. Επειδή οι συγκεντρώσεις των λευκαντικών παραγόντων που χρησιμοποιούνται στο οδοντιατρείο είναι υψηλότερες από τις αντίστοιχες που χρησιμοποιούνται για τη λεύκανση στο σπίτι, τα αποτελέσματα είναι γρηγορότερα και θεαματικότερα. Εάν υπάρχουν δόντια τα οποία έχουν υποστεί κατάγματα ή έχει εκτεθεί η ρίζα τους, μπορεί να εμφανιστεί ευαισθησία η οποία είναι υπό τον έλεγχο του οδοντίατρου και υποχωρεί αμέσως μετά τη διαδικασία της λεύκανσης. Στις περιπτώσεις που η δυσχρωμία έχει προκύψει από εσωτερικούς παράγοντες του δοντιού, όπως συμβαίνει όταν σ' ένα δόντι έχει γίνει εκπόλφωση (απονεύρωση), ο λευκαντικός παράγοντας θα πρέπει να τοποθετηθεί στο εσωτερικό του δοντιού και να παραμείνει εκεί για μερικές μέρες. Η διαδικασία θα επαναληφθεί μερικές φορές, έως ότου επιτευχθεί το επιδιωκόμενο αποτέλεσμα.
Η λεύκανση στο σπίτι
Η λεύκανση μπορεί να γίνει και στο σπίτι χρησιμοποιώντας λευκαντικούς παράγοντες σε μικρότερη συγκέντρωση και λιγότερο ισχυρούς, για λόγους ασφάλειας. Παρόλο που η λεύκανση λαμβάνει χώρα στο σπίτι, γίνεται πάντοτε υπό την καθοδήγηση και την επίβλεψη του οδοντίατρου. Παίρνουμε το αποτύπωμα των δοντιών σας έτσι ώστε να κατασκευαστούν ειδικοί εξατομικευμένοι μαλακοί νάρθηκες για το πάνω και το κάτω οδοντικό τόξο. Μέσα σε αυτούς τους νάρθηκες τοποθετείτε τον λευκαντικό παράγοντα ο οποίος είναι σε μορφή τζελ και να τους εφαρμόζετε επάνω στα δόντια. Η διαδικασία γίνεται 1-2 φορές την ημέρα, για 30-60΄ ή κατά τη διάρκεια της νύχτας και επαναλαμβάνεται καθημερινά για 1-3 εβδομάδες.
Ο συνδυασμός ιατρείου - σπιτιού
Στο ιατρείο μας συνήθως προτείνουμε συνδυασμό λεύκανσης στο οδοντιατρείο με συμπληρωματική δόση στο σπίτι. Πρόκειται για τη μέθοδο που εξασφαλίζει τα πιο γρήγορα και μακροπρόθεσμα πιο σταθερά αποτελέσματα.
Mετά τη λεύκανση
Είναι λογικό και αναμενόμενο να εμφανιστούν κάποια μικρά προβλήματα κατά τη διάρκεια της θεραπείας. Η συνηθέστερη επιπλοκή που μπορεί να εμφανιστεί λόγω της χρησιμοποίησης των λευκαντικών παραγόντων είναι κάποια πρόσκαιρη ευαισθησία των δοντιών, η οποία όμως είναι αντιμετωπίσιμη και δεν διαρκεί πολύ.
Διατήρηση του αποτελέσματος
Από τη στιγμή που ο ασθενής μπαίνει στη διαδικασία της λεύκανσης των δοντιών του, πρέπει να γνωρίζει ότι το αποτέλεσμα δεν είναι μόνιμο. Το χρονικό διάστημα μέσα στο οποίο μπορεί να επανέλθει η αρχική απόχρωση των δοντιών είναι περίπου δύο έως τρία χρόνια. Άρα η διατήρηση του αποτελέσματος μπορεί να εξασφαλιστεί είτε με μία αναμνηστική δόση στο ιατρείο μία φορά το χρόνο είτε με την επαναχρησιμοποίηση του νάρθηκα κάθε έξι μήνες για πέντε-έξι μέρες.
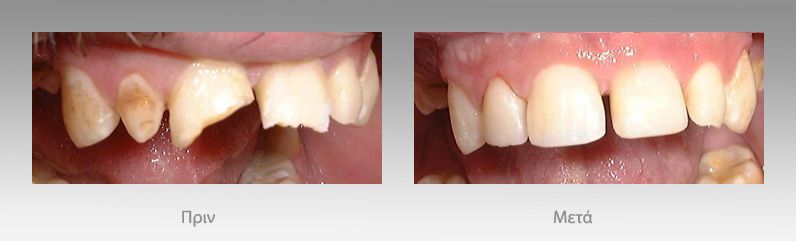
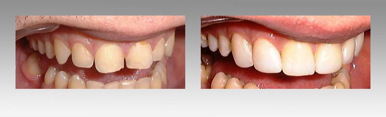
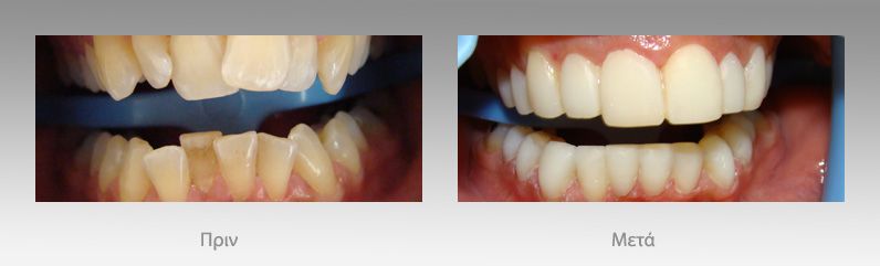
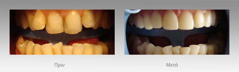
Bonding / Λίφτινγκ Δοντιών
Πρόκειται για μία πολύτιμη τεχνική της αισθητικής οδοντιατρικής στην οποία αναδημιουργούμε το σχήμα και το χρώμα των δοντιών, τοποθετώντας σύνθετη ρητίνη στην εξωτερική επιφάνεια των δοντιών χτίζοντάς το ουσιαστικά κατά στρώματα. Το Bonding/λίφτινγκ δοντιών ενδείκνυται ως λύση εκλογής στις παρακάτω αισθητικές ατέλειες:
- Αραιά δόντια
- Μικρά σε μέγεθος δόντια
- Δόντια με κατάγματα
- Δυσχρωμικά δόντια
- Ελαφρώς στραβά δόντια
Σημαντικά πλεονεκτήματα αυτής της σύγχρονης τεχνικής σε σύγκριση με τις όψεις πορσελάνης είναι μεταξύ άλλων: το άμεσο αποτέλεσμα (σε μία συνεδρία), η αποφυγή του κλασικού τροχίσματος των δοντιών καθώς πρόκειται για μία συντηρητική μέθοδο, η άμεση επιδιόρθωση τυχόν μικροσπασιμάτων χωρίς τη μεσολάβηση εργαστηρίου και το μικρότερο κόστος. Μειονέκτημα της τεχνικής αυτής έναντι των όψεων πορσελάνης είναι η προσρόφηση χρωστικών με την πάροδο του χρόνου, η οποία όμως βελτιώνεται με την κατά διαστήματα επίσκεψη στον οδοντίατρο για τη συντήρηση των συγκεκριμένων αποκαταστάσεων.
Στο ιατρείο μας οι ασθενείς αποδέχονται με μεγάλο ενθουσιασμό την εφαρμογή αυτής της τεχνικής λόγω κυρίως του ανώδυνου της διαδικασίας και των άμεσων και θεαματικών αποτελεσμάτων σε μόνο ένα ραντεβού. Με την εμπειρία μας μπορούμε να σας εγγυηθούμε ένα άρτια αισθητικό αποτέλεσμα σχεδιασμένο αποκλειστικά πάνω στα δικά σας χαρακτηριστικά του προσώπου που αναμφισβήτητα θα σας χαρίσει αυτοπεποίθηση και σιγουριά.
